티스토리 뷰
얼굴에 딱딱한 뾰루지가 나는 경우 있으시죠? 짜면 피지가 나오기도 하는데 뭔가 남아있는 것 같고, 어느새 더 큰 여드름으로 재발한 것 같다면 그건 바로 표피(피지) 낭종입니다. 이 표피 낭종은 절대 집에서 혼자 해결하려고 하면 안 되는데요. 이 글에서는 대체 표피(피지) 낭종이 왜 생기는 것인지, 그 해결 방법은 무엇인지 정리해 드리겠습니다.

표피(피지) 낭종이 생기는 이유?!


우리 피부는 표피와 진피로 이루어져 있습니다. 이때 각질을 만들어내는 표피 세포 조직이 진피로 내려가서 진피 내에 각질을 계속 만들어 내면, 각질의 케라틴 성분이 돌돌 말려 피지와 각질로 채워진 주머니(낭종)가 형성됩니다.
얼굴, 귀 주변, 두피, 목, 등까지 다양한 신체 부위에서 발생할 수 있으며, 둥글게 약간 솟은 형태입니다.
이 표피(피지) 낭종을 위에서 보면 까만 점 같은 것이 보이는데요. 이것은 낭종 입구로 살짝 삐져나온 피지가 산화된 것입니다. 구멍이 보인다고 해서 짜내게 되면 악취를 동반한 진득한 내용물이 조금 나오게 되지만, 자칫 잘못해서 압력으로 인해 피부 안에서 낭종이 터지게 되면 염증과 흉터를 남기거나 재발할 수 있기 때문에 혼자 짜내서는 절대 안 됩니다.
낭종을 제대로 100% 제거하지 않으면 그 안에 다시 각질과 피지가 쌓이게 되는 악순환이 반복될 수 있으니, 반드시 혼자 해결하려 하지 말고 피부과나 외과를 방문해서 크기에 따라 제대로 제거하는 것이 좋습니다.
크기는 보통 1cm 미만부터 5cm까지 다양한데, 크기가 작으면 압출을 하거나 레이저로 시술할 수 있고, 크다면 표피를 살짝 절개해서 수술해야 합니다.
낭종 제거 방법 2가지


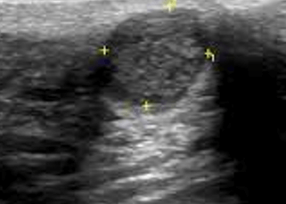
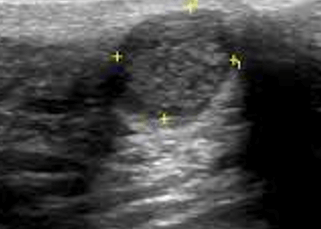
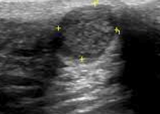
표피(피지) 낭종은 일단 한번 생기게 되면 자연적으로 없어지지는 않습니다. 촉진만으로도 낭종인지 아닌지는 알 수 있지만, 제거를 위해서는 보이지 않는 피부 속 낭종이 어느 정도의 크기인지 먼저 확인해야 합니다. 정확한 크기를 파악하기 위해서는 '초음파'를 해야 하고, 낭종의 크기에 따라 제거 방법이 나누어집니다.
[핀홀법]
핀홀법은 피부를 절개하지 않고 1~1.5mm의 구멍만으로 낭종 주머니를 제거할 수 있지만, 한 번도 짜지 않은 표피 낭종에만 시술할 수 있는 방법입니다. 또한 수술적인 제거가 아니기 때문에 10% 정도의 확률로 재발할 수도 있습니다. 따로 봉합을 하지 않기 때문에 흉터가 크게 남지 않는다는 장점이 있습니다.
[절개 수술]
절개 수술을 하더라도 최소한으로 미세 절개로 수술하며, 흉터가 남지 않도록 최소화하기 위해 봉합을 하지 않기도 합니다. 대신 주머니까지 확실하게 다 제거하기 때문에 재발하지 않습니다.
제거 비용과 실비 적용 코드
표피(피지) 낭종을 제거할 수 있는 병원은 '피부과, 외과, 성형외과'가 있습니다. 표피 낭종 제거 수술은 미용 목적이 아니기 때문에 모두 의료 보험과 실비 보험이 적용되지만, 초음파와 같은 비급여 항목은 적용되지 않습니다.
보험사마다 병명 코드에 따라서 실비 적용 여부도 다를 수 있기 때문에, 본인의 보험 보장 내용을 먼저 확인하시기 바랍니다.
👆🏻 위의 파일을 다운로드하여 질병 코드의 비급여 여부를 확인하시기 바랍니다.
(비급여는 의료든 실비든 보험 청구 안 됩니다)
[피부과 비용]
피부과에서 피지 낭종은 L72코드이며, 레이저로 제거하는 경우가 많습니다. 세부 내역서에는 적출술이라고 기록되니, 질병 수술비 담보가 있을 경우 보험 청구할 수 있습니다.
[외과 비용]
외과에서는 양성신생물 D21코드입니다. 외과에서는 주로 절개 수술로 제거하니, 수술비로 보험 청구 할 수 있습니다. 성형외과에서는 일반 외과보다는 흉터를 최소화할 수 있겠지만 추가 비용이 있을 수 있습니다.
수술이 진행되는 과 / 병원에 따라 비용 차이는 있습니다.
※ 그 밖의 주의사항
보통 피부과 시술 후에는 듀오덤이나 메디폼을 붙여 상처를 보호하지만, 낭종을 제거한 후에는 상처를 습하게 만드는 습윤 밴드는 절대 붙이면 안 됩니다. 다만 씻을 때 물이 닿는 부위라면 잠깐 붙였다가 떼는 방식으로 물이 닿지 않도록 해야 합니다. 최소 3일 ~ 7일간은 물이 닿지 않도록 하는 것이 좋습니다.
실비를 청구할 때에는 [영수증 / 세부 내역서 / 진단서(질병 코드) / 수술 확인서]가 필요한데, 진단서는 1~2만 원 정도 내야 합니다. 만약 수술 확인서에 질병 코드가 포함되어 있다면 수술 확인서 하나로도 가능합니다.
낭종을 제거한 뒤 3개월 정도는 경과를 지켜봐야 하며, 음주나 흡연, 무리한 운동이나 사우나는 삼가야 합니다. 제거 부위가 단단해지면 아물고 있는 것이지만, 그 범위가 넓어지거나 말랑해진다면 재발 가능성이 있습니다.
[함께 보면 좋은 글]
등드름 없애는 꿀팁 [원인, 관리법, 치료법]
여드름은 얼굴에만 나는 게 아니죠. 목이나 가슴, 등에도 여드름이 나는데요. 특히 등에 나는 여드름은 여름철 옷차림에도 신경 쓰이고 피부가 지저분하게 보이도록 만들죠. 그런데 등드름 없애
ggons3.ggonstips.com
여드름 압출 / 피부과 시술 후 부작용 없는 재생 관리템 [센텔라스카 연고(진짜 재생 크림)]
트러블 압출하거나 피부과 시술 후에 어떤 연고 바르시나요? 연고는 효과가 좋은 만큼 부작용 걱정도 있는데, 이 연고는 말이 연고이지, 크림 제형의 '의약외품'입니다. 심지어 무자극 제품이라
ggons3.ggonstips.com
모낭염 치료 방법 100% - 원인(여드름과의 차이), 치료(연고), 재발 방지 관리법
모낭염과 여드름, 구분하실 수 있으신가요? 모낭염은 여드름이 아닙니다. 원인이 서로 다른데, 구분하지 못한다면 당연히 제대로 치료할 수도 없으니 증상은 더 악화됩니다. 그래서 이 글에서는
ggons3.ggonstips.com

'피부 관리 방법 공유 > 관리법' 카테고리의 다른 글
| 두피 타입 자가 진단법, 타입별 샴푸 추천(탈모 예방) (0) | 2023.11.14 |
|---|---|
| 민감성 피부 관리법, 홍조 100% 해결 방법 (0) | 2023.09.28 |
| 등드름 없애는 꿀팁 [원인, 관리법, 치료법] (1) | 2023.09.13 |
| 진균성 모낭염 말라쎄지아 증상 특징 원인 치료방법 (1) | 2023.09.04 |
| 탄 피부 하얘지는 피부 회복 관리법 [화이트닝, 피부 턴오버] (0) | 2023.08.28 |